ホームに戻る

腸閉塞(イレウス)

腸閉塞(イレウス)とは

腸閉塞(イレウス)とは何らかの原因で腸管内の内容物の流れが止まってしまう状態を指します。従来、腸閉塞とイレウスは同じ意義の言葉として用いられていましたが、近年は機械的イレウスを「腸閉塞」、機能的イレウスを「イレウス」と分けて考えるようになっています。

腸閉塞(機械的イレウス)とは、何らかの原因で腸管が物理的に閉塞している状態を指します。

イレウス(機能的イレウス)とは、何らかの原因で腸管の運動(蠕動運動)が止まっている状態を指します。

分類


原因

腸閉塞は、過去の腹部手術(お腹を開けるような手術)の影響で、腹腔内(腸管と腸管、あるいは腸管と腹壁など)に癒着が生じてしまうことが原因として多いと言われています。その他では、がんなどの悪性腫瘍や術後の吻合部(つなぎ目)の狭窄、炎症性腸疾患(IBD)なども腸閉塞の原因となることがあります。

また、捻転(軸捻転症など)や嵌頓(ヘルニア嵌頓など)が生じると腸管の血流障害を伴うような腸閉塞が起こることもあります。

 


 

イレウスは、腹部手術や腹膜炎、薬剤の影響などで腸管が麻痺、あるいは痙攣することが原因と言われています。

症状

症状としては腹痛、嘔気・嘔吐、便秘、腹部膨満感(お腹が張る)などがあります。

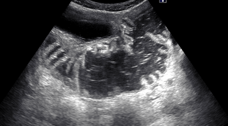
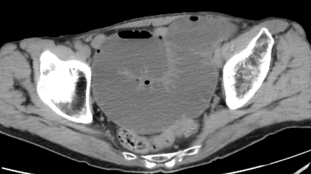
診断・検査方法

  • X線撮影
  • CT検査
  • 超音波検査
  • 内視鏡検査

 




治療

腸閉塞の場合は原因や経過によって治療方針が異なります。

癒着が原因で閉塞している場合は、まず絶食や点滴で様子を見ます。改善されないようであれば、鼻から胃管やイレウスチューブを挿入し腸管の減圧を行います。それでも改善されないようであれば、外科手術を行うこともあります。また、緊急性があれば第一選択として外科手術を行うこともあります。

腫瘍や吻合部狭窄が原因で閉塞している場合は、内視鏡治療(腫瘍であればステント留置術、吻合部狭窄であればバルーン拡張など)、あるいは外科手術が必要となります。

血流障害が生じるような腸閉塞が起きている場合は外科手術が必要となります。

イレウスの場合は、ます絶食や点滴で様子を見ます。改善されないようであれば、鼻から胃管やイレウスチューブを挿入し腸管の減圧を行います。

 



ページのトップへ



チクバ外科・胃腸科・肛門科病院
〒710-0142 岡山県倉敷市林2217  
TEL:(086)485-1755 FAX:(086)485-3500
Copyright © Chikuba Hospital. All Rights Reserved.