ホームに戻る

S状結腸軸捻転症

S状結腸軸捻転症とは

大腸は上行結腸や下行結腸のように後腹膜で固定されている腸管と、横行結腸やS状結腸のように可動性の有する腸管に分けられます。

S状結腸軸捻転症とは、何らかの要因によって腸間膜を中心にS状結腸が捻じれている状態を指します。

 



原因

要因には先天的なものと後天的なものがあります。先天的な要因としては、結腸過長症やS状結腸間膜過長症などがあり、後天的な要因としては慢性的な便秘や高齢者、精神疾患による薬の服用などがあります。

高齢者の場合、加齢に伴って脂肪が減少し、臓器が移動しやすくなり、腸管の緊張がゆるむことで排便障害や腸管過長などが続発し、軸捻転を引き起こすと言われています。

精神疾患の場合、向精神薬の服用によって腸の蠕動運動が停滞したり、便意や痛みを感じにくくなったりしていることが、引き起こす要因と言われています。

 


症状

主な症状としては腹部の膨満感、腹痛、嘔気・嘔吐などがあります。

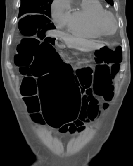
診断・検査方法

  • 触診
  • X線撮影
  • CT検査
  • 内視鏡検査
  • 注腸造影検査

 



治療

まず、内視鏡による整復術を行います。内視鏡を捻転部分に挿入しねじれを解消します。

内視鏡による治療が不可能な場合や、腸管壊死などが認められる場合は手術適応となります。また、内視鏡で整復しても、何度も捻転を繰り返してしまう場合も手術適応となる場合があります。


ページのトップへ



チクバ外科・胃腸科・肛門科病院
〒710-0142 岡山県倉敷市林2217  
TEL:(086)485-1755 FAX:(086)485-3500
Copyright © Chikuba Hospital. All Rights Reserved.