ホームに戻る

虫垂炎

虫垂炎とは

虫垂とは大腸の一部で、右下腹部の盲腸から垂れ下がるように位置します。

虫垂炎とは、その虫垂に感染と炎症が生じている状態を指します。一般的に「もうちょう」と言われる病気は虫垂炎のことを指しています。

 



原因

糞石(便の塊)などが虫垂に嵌り込んでしまうことで、虫垂内部に細菌が繁殖し膿が溜まってしまうことが原因として多いです。

 


分類

軽度では虫垂が充血した状態になります。

中等度になると壁が肥厚し腫大した状態になります。

重度になると壁が壊死し穴が開いてしまう(穿孔する)ことがあります。穿孔すると膿がお腹の中に漏れて腹膜炎を併発してしまいます。

 


症状

腹痛、吐き気、発熱などがみられますが、最も多い症状は腹痛です。初めは心窩部(みぞおち)の痛みとむかつき程度の症状ですが、右下腹部に痛みが移動します。痛みは持続性で、歩いたり飛び跳ねると響くような痛みがあります。

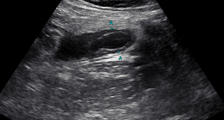
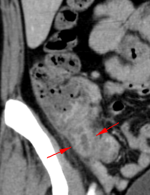
診断・検査方法

  • 触診
  • 超音波検査
  • CT検査

 



治療

軽度であれば薬を用いて保存的治療を行うこともありますが、中等度以上になると手術が必要となります。手術方法は状態や希望に合わせて選択します。


ページのトップへ



チクバ外科・胃腸科・肛門科病院
〒710-0142 岡山県倉敷市林2217  
TEL:(086)485-1755 FAX:(086)485-3500
Copyright © Chikuba Hospital. All Rights Reserved.