ホームに戻る

粘膜下腫瘍、GIST

粘膜下腫瘍、GISTとは

粘膜下腫瘍とは

粘膜下腫瘍とは粘膜の下(粘膜下層~固有筋層)に発生する腫瘍のことを指します。食道~大腸までどの部位でも発生します。

 


粘膜下腫瘍は、良性の腫瘍と悪性の腫瘍に分けられます。

 


GISTとは

消化管間質腫瘍(Gastrointestinal stromal tumor:GIST)は、固有筋層に発生する粘膜下腫瘍の一種です。頻度としては10万人に1〜2人と稀な腫瘍で、本邦においては胃に多い(胃→小腸→大腸、食道の順)と言われています。男女差はなく、中高年に多い傾向があります。

腫瘍は大きくなる過程でタイプが分けられます。

 


原因

粘膜下腫瘍が発生する原因ははっきりしていません。

GISTに関しては、遺伝子変異が原因と言われていますが、遺伝子変異が起こる理由については不明です。

症状

ほとんどの場合が無症状ですが、腫瘍が大きくなると吐血や下血、出血による貧血を引き起こすことがあります。

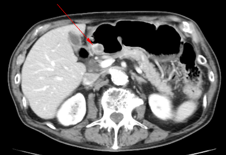
診断・検査方法

  • 内視鏡検査
  • CT検査
  • 超音波検査
  • 胃-小腸造影検査

 



治療

GISTを含む悪性の腫瘍は外科手術が必要となります。また、切除不能や転移が認められる場合は、薬物療法を行うこともあります。


ページのトップへ



チクバ外科・胃腸科・肛門科病院
〒710-0142 岡山県倉敷市林2217  
TEL:(086)485-1755 FAX:(086)485-3500
Copyright © Chikuba Hospital. All Rights Reserved.