ホームに戻る

放射線性直腸炎

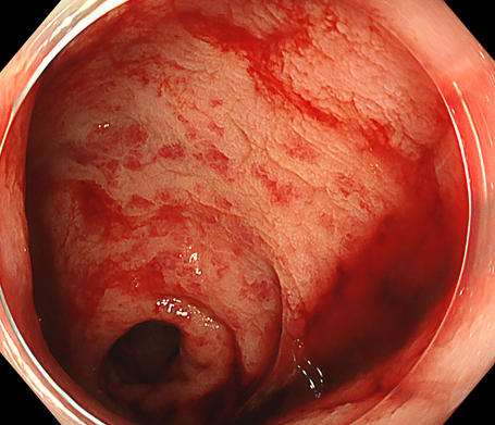
放射線性直腸炎とは

放射線性直腸炎とは骨盤腔内臓器のがん(男性であれば前立腺がん、女性であれば子宮がんなど)に対して放射線治療を行ったあとに、直腸に炎症をきたすことを指します。

 


原因

放射線を照射することにより、骨盤内の腸管の血流が悪くなることが原因として挙げられます。

症状

主な症状として血便や下痢、肛門痛などが挙げられます。

診断・検査方法

  • 内視鏡検査

治療

基本的には、排便コントロールなどの保存的治療を行いますが。

血便がある場合は内視鏡にて止血処置を行います。

 





チクバ外科・胃腸科・肛門科病院
〒710-0142 岡山県倉敷市林2217  
TEL:(086)485-1755 FAX:(086)485-3500
Copyright © Chikuba Hospital. All Rights Reserved.