ホームに戻る

腹膜垂炎

腹膜垂炎とは

腹膜垂炎とは、腹膜垂(結腸ヒモに沿って存在する漿膜で被われている脂肪組織)に炎症が生じた状態のことを指します。

 



原因

腹膜垂の捻転(ねんてん)による血行障害が原因と言われています。

また、肥満男性が発症しやすいと言われています。

症状

主な症状として腹痛や局所的な圧痛が挙げられます。

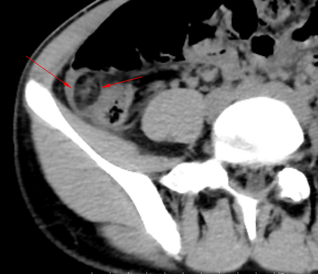
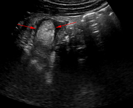
診断・検査方法

  • 超音波検査
  • CT検査

 



治療

基本的には、鎮痛薬の投与などの保存的治療を行います。


ページのトップへ



チクバ外科・胃腸科・肛門科病院
〒710-0142 岡山県倉敷市林2217  
TEL:(086)485-1755 FAX:(086)485-3500
Copyright © Chikuba Hospital. All Rights Reserved.