ホームに戻る

X線撮影

X線撮影とは一般的にレントゲン撮影とも呼ばれている検査で一度は撮ったことがあるという人も多いといます。

X線を用いて胸部、腹部、骨・関節を撮影します。

 


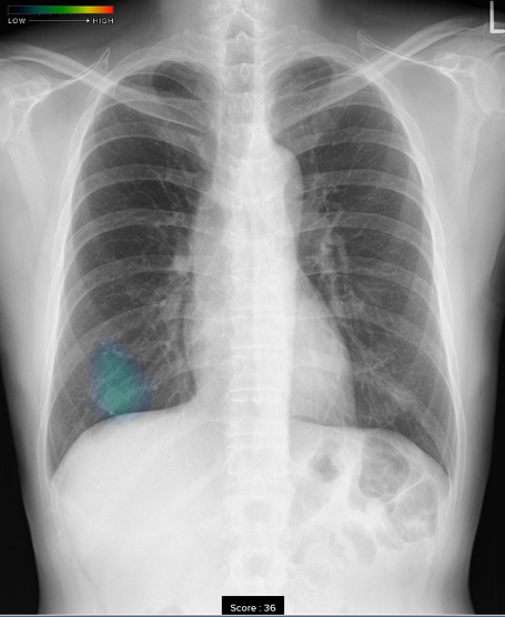
AI技術

当院では、胸部X線画像病変検出ソフトウェア(富士フィルムメディカル製)を導入しています。

AIによる診断補助が可能となり、今まで以上に質の高い診断を行うことができるようになりました。

 



実績



項目 2021年 2022年 2023年 2024年 2025年
X線撮影 5465件 5076件 5421件 5660件 5385件


チクバ外科・胃腸科・肛門科病院
〒710-0142 岡山県倉敷市林2217  
TEL:(086)485-1755 FAX:(086)485-3500
Copyright © Chikuba Hospital. All Rights Reserved.